Брекеты
Ортодонтия – это диагностика, профилактика, лечение нарушений положения зубов и аномалий прикуса — врожденных или приобретенных.
Ортодонтическое лечение необходимо для:
- исправления неправильного положения зубов (дистальный прикус, мезиальный прикус, перекрестный прикус, открытый или глубокий прикус, выраженная скученность зубов и дефицит места, тремы и диастемы, сверхкомплектные/ретинированные зубы);
- улучшения эстетики улыбки;
- облегчения ухода за полостью рта;
- снижения риска развития стоматологических заболеваний;
- восстановление правильной функции зубочелюстной системы.
- профилактики нарушений прикуса у детей раннего возраста
- восстановления при дисфункции ВНЧС (заболевания суставов)
Виды ортодонтического лечения:
Брекеты – несъемные ортодонтические конструкции, состоят из металлических или керамических накладок и дуги, соединяющей элементы конструкции.
| Лигатурные – конструкция, состоящая из дуги и металлических элементов или резиночек, которые регулируют уровень натяжения дуги.
плюсы:
минусы:
|
Металлические плюсы:
минусы:
|
| Безлигатурные (самолигирующие) – отличаются тем, что дуга уже находится внутри замочка и не нуждается в лигатурах.
плюсы:
минусы:
|
Керамические плюсы:
минусы:
|
Элайнеры – набор съемных прозрачных капп, изготовленных индивидуально под пациента. Каждая каппа – новый этап лечения.
Зубные пластинки – специальные корректирующие аппараты, которые зачастую применяются в детском возрасте для исправления прикуса, а также профилактики дефектов прикуса.
Окклюзионная шина Ортотик – применяется при заболеваниях височно-нижнечелюстного сустава. Ее задача зафиксировать челюсть в правильном положении.
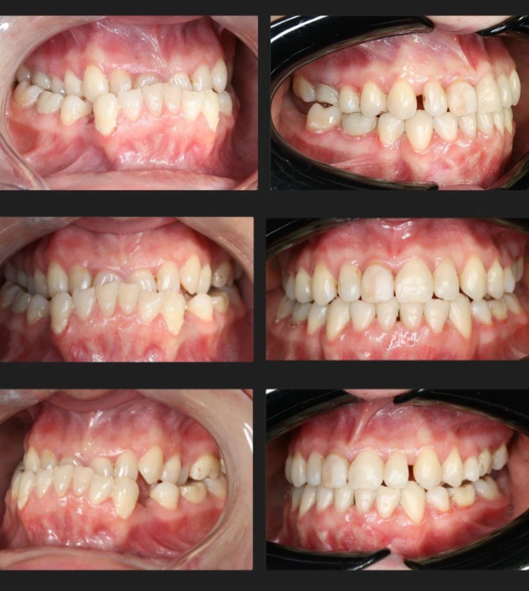
Пациент: К
Возраст на момент начала лечения: 13,5 лет
Клиника: дистальный прикус, нет плотных контактов в боковых отделах, что затрудняет пережевывание пищи. Верхние зубы перекрывают нижние почти на всю высоту коронки зуба, нижних зубов почти не видно – в дальнейшем это приведёт к стираемости зубов. Травматизация слизистой губы высоко стоящим клыком слева. Скученное положение передних зубов.
Выполнено: была установлена безлигатурная металлическая брекет-система (Damon Q), зафиксировано разобщение. Исправлен прикус, положение зубов. Остановлена избыточная стираемость. Восстановления функция жевания.
Лечащий врач-ортодонт Соловьева Д.Д.
Профессиональная гигиена полости рта, лечение кариеса — врач-терапевт Мартынова В.Ю.
Удаление зубов мудрости — врач-хирург Царёва И.А
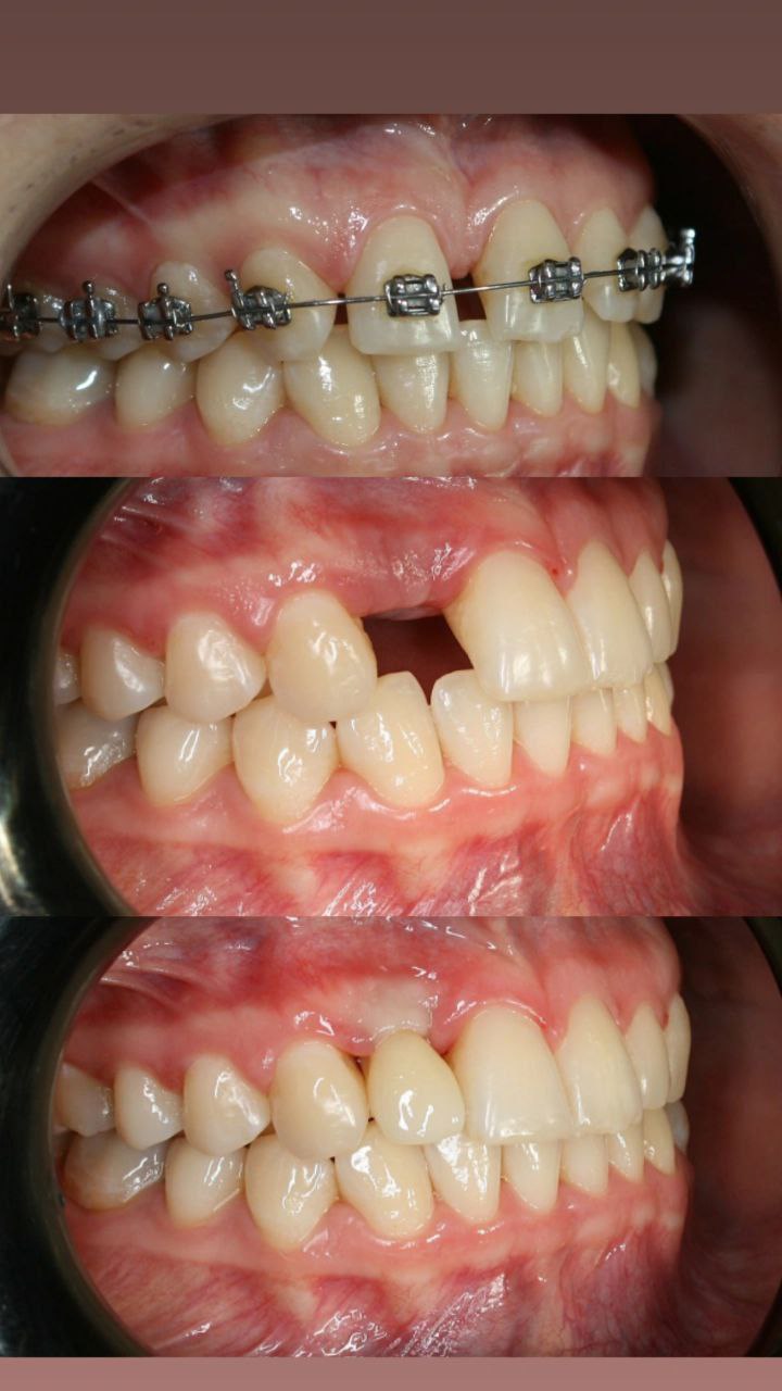
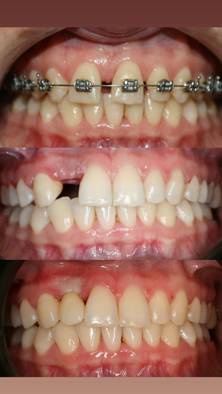
Пациентка П, 34 года
Клиника: отсутствие бокового резца справа (нет зачатка зуба)
Задача: создание места с целью имплантации отсутствующего резца
Выполнено: лечение с помощью брекет-системы на верхнем зубном ряду ( установлена брекет-система МТХ, DynaFlex, США), фиксация навесного искусственного зуба во время ортодонтического лечения, имплантация и протезирование в области отсутствующего зуба
Над случаем работала команда:
Врач-ортодонт Соловьева Д.Д.
Врач хирург-имплантолог Царева И.А.
Врач-ортопед Серхель Е.В.
Пациент Т, 38 лет
Клиника: мезиальный прикус — нижние зубы перекрывают верхние, нарушена эстетика, механика откусывания и пережевывания пищи.
(Часто такой случай исправляется только с помощью челюстно-лицевой ортогнатической операции)
Выполнено: удаление нижних премоляров по ортодонтическим показаниям, лечение на брекет-системе SLX
В итоге достигнуто правильное перекрытие — верхние зубы перекрывают нижние и плотность контактов.
Дальше пациентку ждут реставрационные работы в области верхних резцов – пломбы нужно поменять на коронки большего размера.
Пример комплексной работы
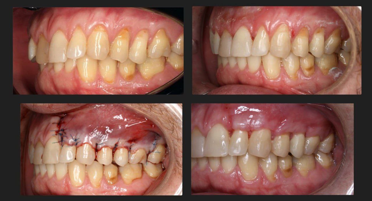
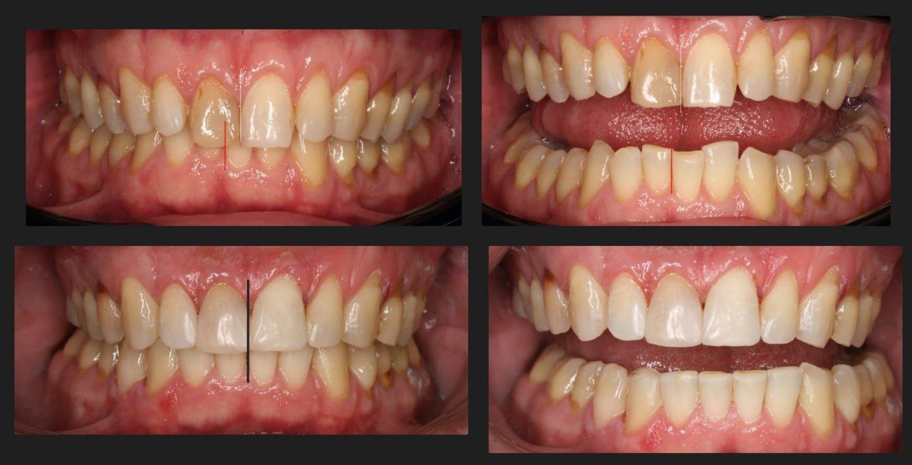
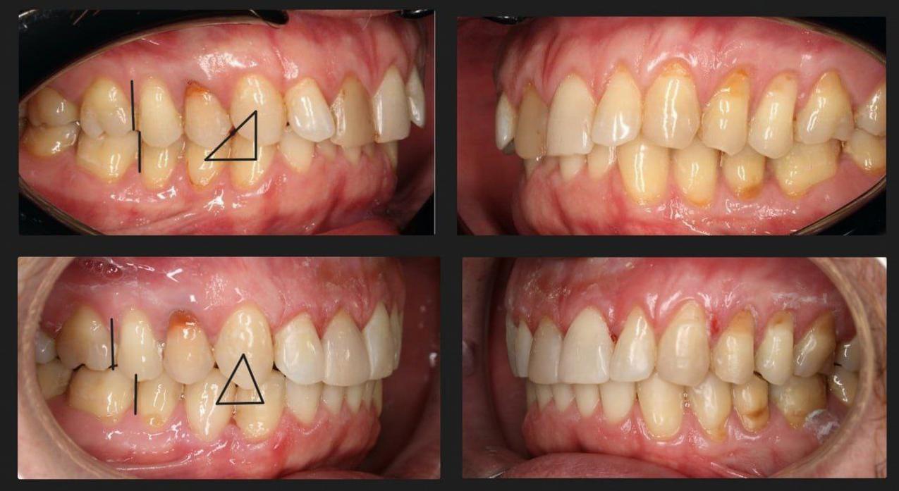
Пациент Р, 33 года
Клиника: бугорковые контакты, глубокое перекрытие, несовпадение средней линии верхнего и нижнего ряда → повышенная стираемость зубов, множественные рецессии десен
Задача: создание правильных рациональных контактов, правильной глубины перекрытия, с целью снижения стираемости и как подготовка к операции по пластике десны.
Выполнено: лечение с помощью брекет-системы Damon Q, срок 2 года. Операция по пластике десны.
Лечащий врач-ортодонт Соловьева Д.Д.
Врач-хирург Царева И.А.
(спецпредложение до 31.01.2026)
(спецпредложение до 31.01.2026)
(спецпредложение до 31.01.2026)
(спецпредложение до 31.01.2026)
(спецпредложение до 31.01.2026)
*Цены, указанные на сайте, не являются публичной офертой. Стоимость услуг устанавливается и оплачивается согласно прейскуранту Клиники, действующему на момент оказания соответствующей услуги. С действующим прейскурантом Вы можете ознакомиться в клинике или по телефону 8 (831) 2-150-152







